Before and after photos from Ocean Orthodontics in Maroochydore
View examples of orthodontic treatment provided to patients on the Sunshine Coast.
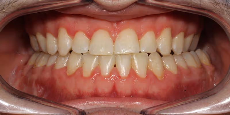
These images show examples of treatment provided at our practice.
These images show actual patients treated at Ocean Orthodontics. Individual results will vary depending on each person’s circumstances. Your orthodontist will discuss what treatment options may be suitable for you.
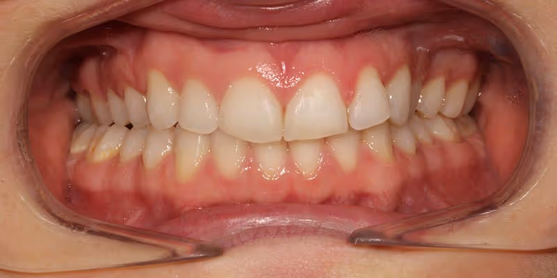
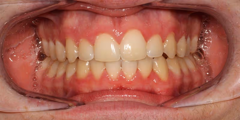
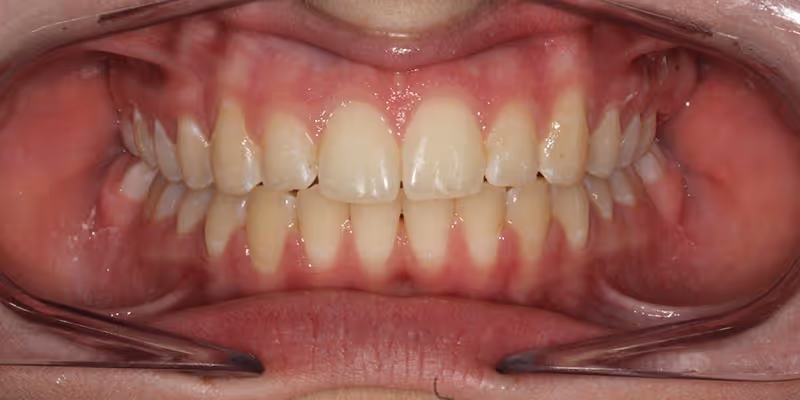
before
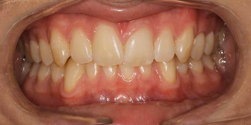
after

Full braces
24 months
treatment
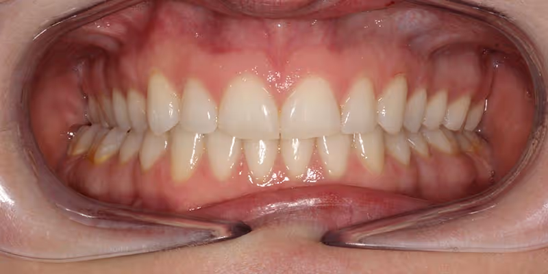
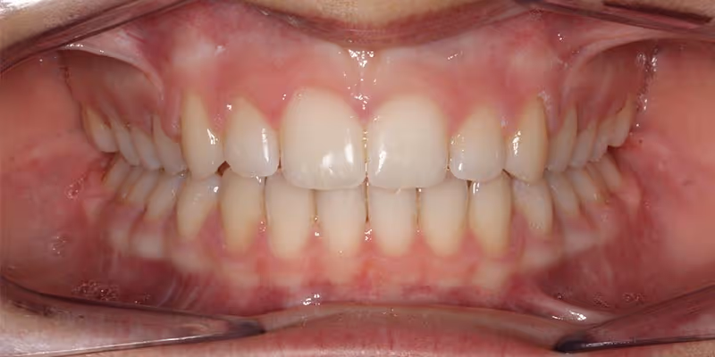
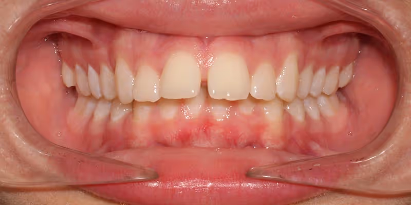
before
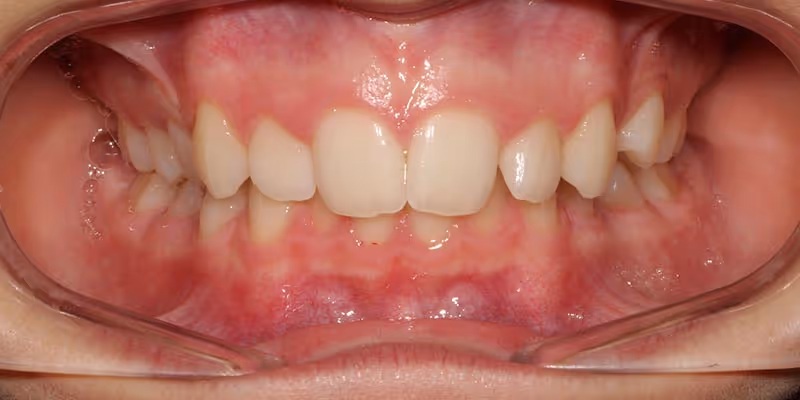
after

Invisalign comprehensive
18 months
treatment
before
after

Invisalign comprehensive
24 months
treatment
before
after

Invisalign comprehensive
24 months
treatment
before
after

Braces combined with jaw surgery
30 months
treatment
before
after

Full braces
24 months
treatment
Ready to discuss your orthodontic treatment options?
There's no obligation to go ahead with treatment after your initial consultation.
Step 1: Fill in your details to be directed to our booking calendar.
Where we are and how to get in touch
Our practice is located across from Cotton Tree beach. Come and meet us at our Maroochydore location.
Call us on 07 5443 4233
Ocean Orthodontics, Lvl 3,
33-37 The Esplanade, Maroochydore QLD 4558
Monday to Thursday: 8:00am – 5:00pm
Friday: 8:00am – 4:30pm (closed every second Friday)
Friday: 8:00am – 4:30pm (closed every second Friday)









